The Daily Insight

Connected.Informed.Engaged.

general

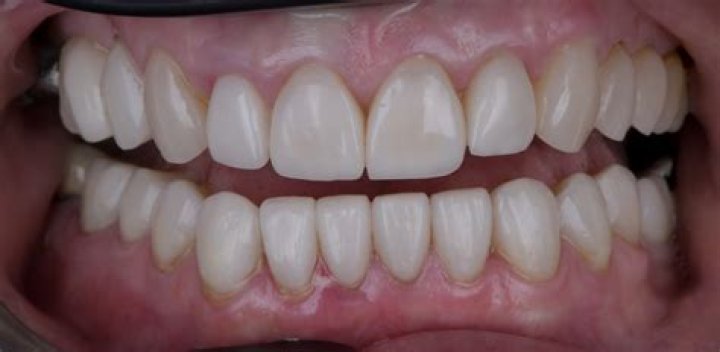
Can you get veneers with an overbite?

Writer Ethan Hayes

Prior to investing in veneers, overbites, overjets, and other alignment issues should be corrected functionally with braces or other orthodontic procedures. There is a risk of veneers cracking and breaking if the teeth are not aligned properly before veneers are applied.

Silky Terrier Dog Breed Playing Aro... Silky Terrier Dog Breed Playing Around

Do veneers affect your bite?

No, that’s not going to happen. Porcelain veneers aren’t going to ruin your smile.

Can you get veneers on protruding teeth?

Veneers and crowns made of porcelain were used to conceal the protrusion and to replace the worn-out originals. As part of your smile makeover, porcelain veneers as well as crowns were used to correct the extreme protrusion and to close gaps. Shortening and lessening the protrusion of two front teeth were achieved using porcelain veneers.

Is it worth fixing an overbite?

Crooked teeth or an unbalanced bite can have long-term consequences for your oral health. What does it matter if you have an overbite? Correcting an overbite or any other type of malocclusion will not only improve the appearance of your smile, but it will also certainly help to keep your teeth healthy in the long run.

Can I get veneers if I have an underbite?

For those who have a healthy mouth but are dissatisfied with the way it looks, porcelain veneers are an excellent solution. Dental veneers can also be used to actually fix a variety of cosmetic issues, such as overbite or underbite, by replacing the outer layer of a tooth.

How much is a full set of veneers?

Based on your treatment plan, severity of your condition and other considerations, the cost of composite veneers can range from $650 to $1500 per tooth.

Why you should not get veneers?

Even though veneers can be used for both cosmetic and restorative purposes, they are not a replacement for healthy teeth and gums. Serious dental issues should never be concealed with veneers. Veneers should not be considered unless any decay or periodontal disease has been addressed first.

Can dental bonding fix overbite?

Tooth bonding can be used to correct mild cases of overbite. Your dentist will apply a tooth-colored composite resin to the affected teeth during this procedure. Bonding can certainly be used to make the teeth appear to be aligned by adjusting their size and shape a little bit.

Can Invisalign correct an overbite?

If you have an overbite, can Invisalign clear aligners help? Clear aligners from Invisalign are capable of correcting an overbite or underbite.

What is a severe overbite?

It’s called a class 2 malocclusion if the overbite is so severe that the upper and lower teeth overlap significantly. It’s possible to push your tongue through the space between your teeth if you clench your jaw hard enough.