The Daily Insight

Connected.Informed.Engaged.

general

Why Do Teeth Have Ridges?

Writer Rachel Davis

When permanent teeth begin to grow at an early age, the ridges form. Mamelons are made of enamel, which is generated as a child’s teeth develop beneath their gums. The front teeth of a child are created as lobes that are fused together prior to breaking through the gum tissue. When adult teeth emerge from beneath the gum tissue, three distinct types of cells line the teeth’s edge, facilitating the teeth’ passage through the gum tissue.

Silky Terrier Dog Breed Playing Aro... Silky Terrier Dog Breed Playing Around

You may see ridges on a child’s permanent teeth. Adults, on the other hand, can have them. When a child’s permanent teeth begin to grow, the ridges appear on their teeth. The mamelons are unique to each individual. Some are obvious, while others are subtle. If the edges of the ridges are harsh, they may give your child’s teeth an uneven appearance. They are frequently found on the permanent lateral and central incisors of the upper and lower jaws. Only newly erupted incisor teeth include melons. They are typically present on permanent incisors. They can also be observed on primary incisors in some circumstances.

When teeth erupt, some parents believe they have sustained injury. There is no need to be concerned, as this is simply the teeth’ ridges assisting the tooth in growing through the gums. Mamelons are uncommon in adults due to their sluggish deterioration. They are not regarded as serious oral health problems because they wear away rather quickly in a person’s life. Finally, while the ridges pose no hazard to your dental health, they also provide no advantage. However, you can consult a competent dentist for advice, depending on whether you want to address merely mamelons or a variety of other difficulties.

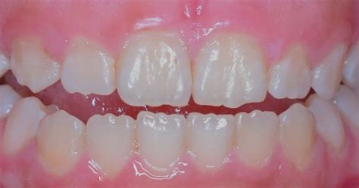
You may be concerned about the ridges that develop on the outside of your teeth. This abnormality, referred to as a mamelon tooth, is typically identified by three small but conspicuous ridges or protuberances on the central and lateral incisors, giving the tooth a scalloped or even wavy edge similar to that of a serrated knife. The term “mamelon” originates in French and refers to its tiny, bumpy appearance. Mamelons, like the rest of your tooth’s coating, is comprised of enamel. Mamelons are not harmful to the health or have any other significance, although many people find them cosmetically unpleasant. The majority of dentists feel that the primary reason for mamelons is to aid with the eruption of new permanent teeth through the gums. They are, however, of little crucial relevance until a child’s complete set of permanent teeth has developed.

Mamelons are most usually found on children’s permanent teeth as they develop, although they do wear down with time, which is why they are less frequently found on adult teeth. They may begin as huge, prominent lumps and gradually diminish to a gentle wavy texture. Mamelons are occasionally discovered on children’s infant teeth. While mamelons often dissolve spontaneously as a result of normal biting, chewing, and contact between your upper and lower incisors, mamelons may not erode naturally and you may choose to see a dentist to smooth out the mamelon ridges if they are ugly. Adults may also discover that their mamelons have not worn away if they have an open bite, meaning their front top and bottom teeth do not touch, or if they have other jaw misalignment concerns.