The Daily Insight

Connected.Informed.Engaged.

updates

Can A Filling Fix A Broken Tooth?

Writer Andrew Davis

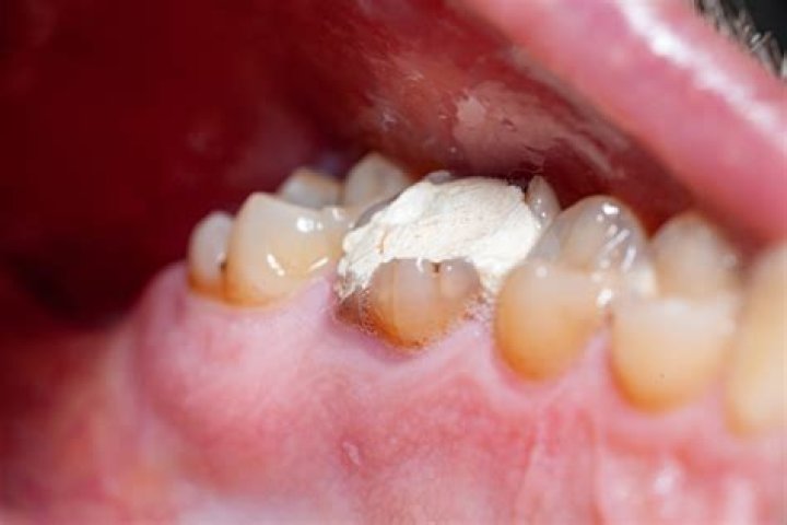
One of the safest dental procedures used by dentists to repair broken teeth is filling a cavity. The restorative material is used by the dentist to temporarily fix cracked or broken teeth. If you have a cavity in your tooth, you should have it treated at the dentist. It’s quick, easy, and inexpensive.

Silky Terrier Dog Breed Playing Aro... Silky Terrier Dog Breed Playing Around

Can a badly broken tooth be saved?

Gluing a broken, chipped, or cracked tooth back together is one of the most common ways to repair a tooth. a crown or a filling (a cap that completely covers the broken tooth) root canal therapy for a severely damaged tooth that has exposed the nerves

Does a broken tooth need to be filled?

Your tooth may only require a filling if the damage is minor. Using a tooth-colored composite resin, known as bonding, a dentist can repair front teeth. In most cases, bonding doesn’t necessitate numbing the tooth due to its simplicity.

What happens if half of your tooth breaks off?

Restorative dental work, such as fillings or bondingsA filling may be used to repair a small amount of tooth enamel that has been chipped off. Bonding, which uses a tooth-colored composite resin, is likely to be used if the repair is visible when you smile or is on a front tooth.

How long do fillings last?

Metal fillings typically last 15 years before they need to be replaced, but this can vary depending on a variety of factors, such as how often you grind or clench your teeth. Glass and plastic particles are combined to create tooth-colored fillings.

Why are my teeth breaking into pieces?

There are many stresses and strains that our teeth are subjected to, and they can chip, crack, or even break as a result. In many cases, these breakdowns are caused by: Eating a difficult meal. Facial scarring as a result of a car crash.

How much does it cost to fix a broken tooth?

The cost of repairing a chipped tooth can range from $300 to $5,000, depending on the method used. Compared to dental implants, dental bonding is the least expensive option. It is possible to chip your tooth in a variety of ways, including trauma to the face or mouth; eating hard foods; or not brushing your teeth.

When teeth break around fillings?

Having a large silver amalgam filling that acts as a wedge can cause Cracked Tooth Syndrome. As a result of the lack of bonding between silver amalgam fillings and teeth, they are typically held in place by retention, rather than bonding.

Can a broken tooth be fixed same day?

Even if a tooth fracture is not painful, if it is not treated right away, it can lead to more serious problems. Someone who frequently speaks in public may want to have their tooth repaired as soon as possible by an emergency dentist who offers same-day appointments.

How much does a filling cost?

One or two surfaces of the tooth can be filled with a metal filling, known as silver amalgam, for $50 to $150; three or more surfaces can cost between $120 and $300. Depending on the number of teeth to be filled, composite resin fillings can cost anywhere from $90 to $250 for one or two surfaces, and from $150 to $450 for three or more.

Can a cracked root canal tooth be saved?

It is possible to save the tooth by performing a root canal and placing a crown over the damaged area to prevent further damage. It’s not possible to save a tooth that has a crack that extends below the gum line; in that case, extraction is the only option left.

What do dentist use for fillings?

There are numerous dental filling materials on the market today. Fillings can be made of gold, porcelain, silver amalgam (mercury mixed with silver, zinc, and copper), or tooth-colored, plastic, and composite resin fillings.

How much do veneers cost?

Depending on the complexity of the case, dental veneers can cost anywhere from $400 to $2,500 per tooth. To put it another way, composite veneers are the least expensive of the veneer options available, with prices ranging from $400 to $1,500 per tooth, as opposed to $925 to 2,500 for porcelain veneers per tooth.

Should you brush a broken tooth?

You should avoid chewing on the side of your mouth where the damaged tooth is until you can see a dentist. Drink only warm beverages and avoid eating anything crunchy. Brushing and flossing will still be necessary, but you should proceed with extreme caution and gentleness.

Can dentist fix a half broken tooth?

When it comes to broken or chipped teeth, the answer is usually yes when you ask, “Can a dentist fix a half-broken tooth?” However, as soon as you realize your tooth is broken in half, make an appointment with your dentist right away.

Can a half broken tooth be saved?

It is possible to repair a small portion of chipped enamel or filling with a new filling or bonding material. In the event that only a small portion of your tooth was chipped or cracked, your dentist may be able to repair the remaining portion with a crown or filling.

How do dentists remove old fillings?

We’ll be using a High Volume Suction device. As the filling is drilled out, this suction removes all of the debris from the tooth. Under the rubber dam, powdered charcoal and chlorella are sucked into your mouth.

What does a broken filling feel like?

After chomping down on something too hard, you feel a small, hard object lodged in your mouth (you may also be able to hear a crack) A crack, hole, or indentation can be felt when you run your tongue over the tooth. The surrounding tissues (lips, cheeks, and tongue) may become inflamed as a result of this crack or hole.

How many times can a tooth be filled?

A filling can be replaced an unlimited number of times. When the hole in the dental filling gets too big, we usually stop replacing it. Having more filling material than natural tooth material weakens your tooth.

Why are my teeth rotting and breaking?

Your teeth’s hard surface is permanently damaged, causing tiny holes or openings to form. Bacteria in your mouth and frequent snacking, as well as drinking sugary drinks and not brushing your teeth properly, all contribute to tooth decay or caries.

Is a broken molar an emergency?

You shouldn’t wait until your next scheduled appointment to fix a broken molar. If you’re experiencing pain, see a doctor right away so that the problem doesn’t get any worse.

Can a broken tooth be capped?

When veneers, onlays, or fillings fail to repair a tooth that has been broken or severely damaged, the only option left is a dental crown. As long as the tooth isn’t in danger of fracturing, a crown can be used to keep it in place. When it comes to infection prevention, there is no substitute for hand sanitizers.

Can you glue a broken tooth back together?

There is a possibility that the dentist can reattach the fragment to the tooth. Not to worry, your dentist can use tooth-colored filling material if you can’t find the fragment. A filling or a crown may be necessary if a back tooth is damaged (also known as a cap).

How long does teeth bonding last?

Depending on the location of the bonded tooth, your bite, and your eating habits, bonding on the front teeth can last anywhere from 4 to 8 years. Avoid biting directly into your food, especially hard foods, which can weaken the dental bonding and cause it to fall apart.

Can you live with broken tooth?

It’s possible to get by with a chipped tooth. Even if you don’t feel any pain and it doesn’t show up when you smile, there are many dangers to living with a fractured tooth. When a tooth has a weak spot or has been traumatized, it can crack or fracture.

What can a dentist do with a broken tooth?

It is possible to fill in the gaps caused by a crack with fillings. A tooth-colored filling can be used by your dentist to smooth out the edges of a chipped tooth. Crowns – A tooth that has been chipped or cracked can have a crown placed on top of it.