The Daily Insight

Connected.Informed.Engaged.

news

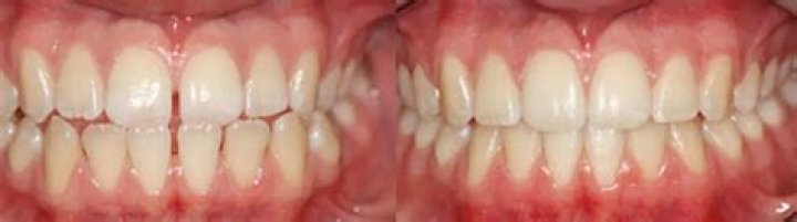
Can Braces Fix Midline Shift?

Writer John Campbell

In cases where a malocclusion, such as a crossbite or an overbite, has resulted in midline misalignment, braces are an excellent treatment option. Braces can realign the skeleton in addition to straightening teeth.

Silky Terrier Dog Breed Playing Aro... Silky Terrier Dog Breed Playing Around

How do you fix a shifted midline?

Invisalign. Adults with mild to moderate midline shifts prefer Invisalign as a treatment option. Consider the possibility of a bite issue, such as a crossbite. Additional dental appliances can be used in conjunction with Invisalign to improve the misalignment of your mouth and create a more attractive smile in this situation.

Can Invisalign fix midline shift?

Squats and PlanksIn some cases, patients’ front teeth do not match their midline (the imaginary line down the middle of the face). An invisalign treatment can correct a 2mm misalignment of the midline per arch, but larger misalignments require braces.

How do you correct a midline deviation?

An intraoral elastics and/or asymmetric tooth extraction is usually all that is required to correct a morphological dental midline deviation. In addition, an asymmetric extraction may result in an asymmetrical molar relationship and an asymmetrical arch form at the end of the treatment (9).

Can braces fix shifting jaw?

Increases Jaw Alignment PrecisionThe jaw can be realigned to a more advantageous position by using braces to correct tooth and jaw misalignment. Additionally, this can help alleviate issues related to overbites and underbites, making your face look better.

What causes midline misalignment?

A drifting or missing tooth can cause a midline misalignment. Although the misalignment of the jaw could lead to more serious dental problems if not treated with orthodontics, a midline issue is not always obvious.

Is Invisalign as effective as braces?

When worn, Invisalign aligners are virtually undetectable, but they still work to straighten teeth in a way that is comfortable and will last for many years. In fact, because the aligners apply pressure to the entire tooth, Invisalign treatment may be even more effective than traditional braces in some cases.

Does Invisalign help midline?

Squats and PlanksIt is possible for Invisalign to correct a 2mm midline discrepancy per arch, but braces are needed if the gap is larger. If you’re looking for more information, your dentist could be an excellent resource.

Is teeth midline important?

In orthodontics, the dental midline, which runs between the two upper and two lower front teeth, is critical. Ideally, the dental midlines of your upper and lower jaws should be aligned with the center of your face. This is referred to as a “deviated” midline when it does not occur.

Why are my teeth not centered?

The midline discrepancy may exist in your case. Simply put, a midline discrepancy occurs when the front two teeth do not line up with each other. Midline discrepancies are extremely common, and they’re usually not a big deal.

Does braces fix facial asymmetry?

Appliances or braces can more effectively correct an asymmetrical face by altering the size, positioning, or even shape of the jaw. It also allows for the proper eruption of the permanent teeth. Treatment will have a long-term effect on the patient’s appearance, and it can have a significant impact on their self-esteem.

Can orthodontics fix facial asymmetry?

Irregularities in facial proportion can go unnoticed for long periods of time because they’re so minor. However, jaw discrepancies can lead to significant differences. Braces and Invisalign can significantly improve an asymmetrical face in these situations.

Can a dentist fix a misaligned jaw?

An uneven jaw can often be corrected with braces or dental appliances. Surgery is often required in more serious cases. Consult your physician if you are experiencing excruciating pain in your jaw, whether it is chronic or the result of an injury. They can help you find the root cause of your pain and work with you to alleviate your symptoms.

Which is faster braces or Invisalign?

What’s the truth about Invisalign? It’s safe to say that you can. Invisalign treatment takes an average of 12 months, as opposed to the 18 to 24 months it takes with traditional metal braces. The length of time it will take to see the desired results is largely determined by the degree of complexity of the treatment plan.

What is the lowest price for Invisalign?

Treatment with Invisalign can cost between $3,000 and $7,000. People may be eligible for up to $3,000 in assistance from their insurance company, according to the information provided. The average cost of Invisalign in the United States is between $3,000 and $5,000, according to the Consumer Guide for Dentistry.

What is a midline discrepancy?

A midline discrepancy is a misalignment of the upper lip and the bridge of the nose at the point where the two front teeth meet. Midway between the centers of the pupils, the midline does not appear to be.

How do I find my facial midline?

In order to establish a facial midline, the distance between the frame’s two lateral borders was divided. Anatomic points were marked clinically by drawing three vertical lines along them. The individual’s existing dental midline was used to draw a fourth line.

Should top and bottom teeth align?

When looking at yourself from the front, your upper front teeth should be 2 millimeters in front of your lower front teeth (against your lip). The teeth on either side of the upper and lower frontal incisors should lightly contact one another. The back teeth should not be tilted toward the cheek or tongue from the top or bottom.

Can braces change face structure?

We’re frequently asked if braces can alter your facial features in addition to your teeth. So, can orthodontics alter the shape of your face? YES, that’s a short answer.

Do braces give you cheekbones?

In addition to straightening your teeth, orthodontic treatments can improve your overall health. The facial symmetry, jawline, and cheekbones can all benefit from braces.

How does Invisalign change your face?

Invisalign can help you achieve a more attractive smile by gradually shifting your front teeth. Simply put, Invisalign straightens your teeth and improves your smile. It can even help you regain your self-esteem by improving the appearance of your smile.

Can braces cause jaw misalignment?

TMJ can be exacerbated or even caused by orthodontic treatment, so the short answer is yes. Symptoms of TMJ dysfunction may be caused by a variety of factors, not just orthodontic treatment, especially if you began experiencing them several years after completing treatment.

Do braces affect your jaw?

You’ll notice your teeth shifting and your face changing as soon as you start wearing braces. For more than just improved bite and jaw positioning comes an improvement in the overall appearance of your face.

How do braces correct misaligned jaw?

The most common treatment for crooked or crowded teeth and misaligned jaws is braces. When the upper front teeth are crooked or protruding because of an overbite, traditional braces that use brackets cemented to the teeth and archwires to connect them can help.

Which type of braces are the fastest?

Most experts agree that using clear aligners is the most efficient way to straighten your teeth, regardless of the severity of the problem.

What color is best for braces?

If you have fair skin, opt for shades of blue, bronze, dark purple, or subdued reds and pinks. To make your teeth appear whiter, wear darker colors. Avoid wearing anything with a lighter hue in case it intensifies the yellowness of your teeth. Your eyes should be taken into consideration when choosing colors.