The Daily Insight

Connected.Informed.Engaged.

updates

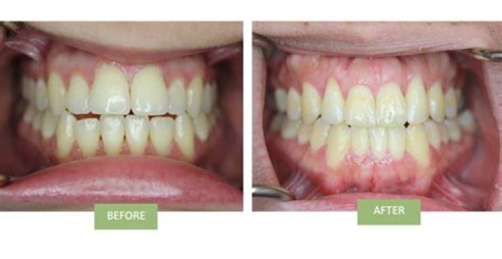
Can Invisalign Fix An Open Bite?

Writer Gabriel Cooper

How long does Invisalign take to fix an open bite?

Do you know how long it takes for Invisalign to work on open bites? Your treatment time with Invisalign will vary based on the severity of your malocclusion. Three months for minor open bites and up to 18 months for moderate open bites can be expected.

Can I get Invisalign if I have an open bite?

It is possible to correct an open bite with Invisalign.

How much does it cost to fix an open bite with Invisalign?

4How Much Does Invisalign Cost to Straighten an Open Bite? How much it will cost to fix an open bite will be determined by the particulars of your case. The cost of Invisalign can range from $2,650 to $9,000, depending on the severity of your condition, your treatment location, and your location.

Can Invisalign fix open bite in adults?

Braces or Invisalign aligners are the most popular treatment choice for adults. Correcting an open bite becomes more challenging as the patient grows older. Even the most difficult cases can have their open bite teeth aligned.

Will my open bite get worse?

An open bite will get worse over time if left untreated. It is critical to address open bite as soon as possible, as it becomes more and more pronounced over time. It’s important to know what an open bite looks like. A vertical gap between the upper and lower teeth is known as an open bite.

Should I fix my open bite?

At any age, an open bite can be treated, but it is much easier and less painful when the adult teeth have not yet erupted. If a child has an open bite, he or she should have a dental exam when they still have their baby teeth, which is around age 7.

How do you fix an anterior open bite?

For skeletal anterior open bite cases, the gold standard treatment is a combination of orthodontics and orthognathic surgery with fixed appliances. Orthodontically correcting anterior open bites has been made easier with the advent of temporary anchorage devices (TADs).

How long does it take to fix open bite?

An open bite will not go away once adult teeth replace baby teeth, and orthodontia is needed to correct it. Fortunately, there are a variety of treatment options available for open bites, including clear plastic aligners. A typical course of treatment lasts from 12 to 24 months, or one to two years.

Is open bite genetic?

What Is the Reason for an Unclosed Mouth? There are numerous causes for both anterior and posterior open bites. If, for example, your jaws grow apart instead of parallel to each other, it’s likely due to your genes.

Is open bite common?

Only 0.6 percent of the American population suffers from an open bite, a type of malocclusion (misalignment). When the upper and lower front teeth slant outwards and don’t touch when the mouth is closed, this is a type of misalignment.

Can Veneers Fix open bite?

Is it possible to close an open bite with veneers? Veneers can be used to correct minor open bites. A porcelain or composite veneer is a very thin layer placed over the front surface of the tooth. The dentist will remove a small portion of the tooth’s enamel to make room for dental veneers.

Does open bite affect jawline?

If you have an open bite, your cheeks won’t need to stretch to cover your teeth; if you have an overbite, your profile will be more balanced, and your chin and jawline will be stronger. If you have an overbite, your face will look softer and more proportionate.

How rare is an open bite?

Overbite, open bite, crooked teeth, and dental crowding can all be fixed with orthodontics in the majority of cases. Even though malocclusion occurs frequently, an open bite is unusual. As it turns out, only 0.6 percent of American citizens are affected.

Why do I suddenly have an open bite?

What Is the Reason for an Unclosed Mouth? In some cases, open bites are the result of a misaligned upper-to-lower skeletal relationship. The habit of sucking one’s thumb, finger, or tongue can lead to open bites. When a person’s habits interfere with normal tooth biting, it can cause issues with eating or tooth eruption.

Does open bite affect speech?

The way you speak and pronounce words can be affected if you have an open mouth. Most people who speak with a lisp have an open bite, which can be corrected and aligned.

Can you treat an open bite?

There are a variety of ways to close a gap in the teeth, including: The upper and lower teeth can be aligned with the help of orthodontics, such as braces. As the severity of your case dictates, Invisalign braces are custom-made to fit the shape and size of your teeth.

How much does it cost for Invisalign?

A set of Invisalign aligners costs, on the whole, between $3,000 and $5,000, according to the Consumer Guide to Dentistry. Traditional metal bracket braces, on the other hand, typically cost between $2,000 and $6,000. All of these prices are subject to change based on the specifics of your case.

Does fixing open bite change face shape?

No. No, they don’t. Even though braces can correct the width of your upper jaw, they do not affect the structure of your nose.

Does your face shape change with Invisalign?

Invisalign can alter the shape, appearance, and profile of the face in addition to straightening teeth. An overbite can cause your upper lip to protrude if your teeth are crooked.

Does Invisalign change face?

You can’t directly affect your nose or lengthen your face with orthodontic treatment, such as Invisalign and braces. It’s because of the angles that some people think their noses look different after braces or that their face appears to have grown longer.

Does Invisalign cause posterior open bite?

The development of a posterior open bite is one of the most common issues with clear aligner and Invisalign treatment. You’ll run into this issue if you treat your patients with clear aligner braces.

What sounds are affected by an open bite?

/t/, /n/, or /d/ will be used to make sounds that are normally pronounced with /s/, /z/, or /l/. While closed, the upper and lower jaws don’t touch. This is known as an open bite, and it’s a common problem among people with crooked or overlapping teeth.

Can an open bite cause a lisp?

Thumb-sucking is a common cause of open-bite individuals, including children and adults, to develop lisps. Words containing the letter “s” or “z” can cause a lisp if the tongue doesn’t connect properly with the roof of the mouth.

Are Invisalign painful?

Is Invisalign a Painful Treatment? No, Invisalign is not painful, but it can cause a person’s teeth to become sore after treatment.. Consider it to be the same as traditional orthodontics. The pressure exerted on your teeth when you first get braces may cause some discomfort.

Why braces are better than Invisalign?

With braces, complex dental issues can be fixed more effectively than with Invisalign because they are functional and work quickly. In addition to closing gaps and straightening teeth faster, braces are also expected to last longer than Invisalign.