The Daily Insight

Connected.Informed.Engaged.

news

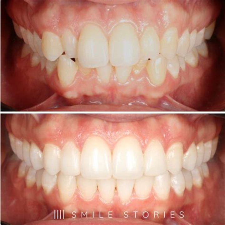
Can Invisalign Fix Jaw Alignment?

Writer Gabriel Cooper

However, jaw misalignment is one of the most common causes of TMJ disorder. Braces are by far the most logical and effective way to address this issue. When you use Invisalign, you can straighten your teeth while avoiding the pain and discomfort that comes with traditional braces.

Silky Terrier Dog Breed Playing Aro... Silky Terrier Dog Breed Playing Around

Can Invisalign fix jaw asymmetry?

The good news is that correcting an asymmetrical face with braces or Invisalign can balance out the facial features and align the jaws.

Can Invisalign fix jaw alignment in adults?

Gaps in the teeth, an underbite, an open bite, an overbite, and crossed teeth can all be corrected with Invisalign. Can Invisalign Straighten Your Jawline? Yes, that’s correct! As one might expect, a misaligned jaw contributes to a host of other issues, such as difficulty chewing, speaking, breathing, and even sleeping.

How do you fix slightly misaligned jaw?

In many cases, orthodontics or dental appliances can correct a misaligned jaw. Surgery is frequently required in more serious cases. Get checked out if you’re experiencing severe jaw pain, regardless of whether it’s a long-term issue or the result of an injury. They can help you find the root cause of your pain and work with you to alleviate your symptoms.

Can Invisalign widen your jaw?

When it comes to straightening teeth and improving alignment, both braces and Invisalign are excellent options. Remember that widening a smile with Invisalign or braces does not actually widen the jawbone.

How does your jaw become misaligned?

It is common for the upper jaw (maxilla) to be out of alignment with the lower jaw (mandible). Misalignment of the teeth, disorders of the temporomandibular joint (TMJ) that connects these bones, trauma, and birth defects all contribute to this condition.

How does Invisalign change your face?

Wearing Invisalign will gradually move your front teeth back, which could improve your overall appearance if you choose to do so. By aligning your teeth, Invisalign makes you look more attractive. It can also improve your smile and boost your self-esteem.

How expensive is Invisalign?

The Invisalign® system is a great value because it requires fewer appointments and is less time consuming than traditional metal braces. Invisalign costs and prices can range from NZ$3000 to $11000 or more over the course of treatment, depending on a variety of factors.

Can a chiropractor realign your jaw?

Chiropractic adjustments can help realign the jaw, whereas most people with TMJ seek relief from a dentist or doctor.

Can chiropractor fix jaw alignment?

Is it possible for a chiropractor to correct a misaligned jaw? Yes, without a doubt! In most cases, a misaligned jaw is addressed by a dentist or a physician. Risky and expensive procedures may be required as a result of these techniques.

Can Invisalign fix narrow upper jaw?

Surgery is required for adults with a narrow maxillary arch in order to widen the palate. Using Invisalign to shift teeth into the correct position and widen the smile is an option if the maxillary arch does not need to be expanded or if palate-expanding surgery has been completed.

Can Invisalign push teeth forward?

Orthodontics can adjust the position of teeth in the jawbone to ensure that the height of the teeth remains the same. When it comes to moving teeth into position, braces have the power, whereas Invisalign is limited in its ability to move teeth in the front and, to a lesser extent, the back.

How can I naturally widen my jaw?

The first step is to close your mouth and slowly move the jaw forward. You’ll feel the muscles in your chin and jawline elongate as you raise your lower lip. Step 3: Hold this position for about 10 seconds before repeating the exercise.

Why arent my teeth straight after Invisalign?

When you have your Invisalign braces removed or stop wearing them, it is normal for your teeth to shift slightly. This is a natural result of the constant biting, chewing, swallowing, and speaking that takes place on a daily basis.

Does Invisalign make your teeth white?

The best thing about using Invisalign® braces to whiten your teeth is that you can keep using your custom aligner trays long after your teeth straightening treatment is finished.

Is Invisalign faster than braces?

What Is the Difference Between Invisalign and Braces in Time? Briefly stated, the answer is “yes”. It takes an average of 12 months to complete treatment with Invisalign compared to 18 to 24 months with traditional metal braces. But the length of time required to achieve the desired results depends largely on the complexity of your treatment plan.

Can Invisalign cause jaw problems?

You may experience headaches as a result of shifting teeth because your face, jaw and teeth are all connected. Jaw popping or grinding, jaw pain, neck pain, and earaches are all possible side effects.

Does teeth alignment change face shape?

No. They don’t have any. Even though braces can correct the width of your upper jaw, they don’t have any effect on the structure of the nose.

Are Invisalign painful?

Is Invisalign a Hurtful Treatment? It’s true that Invisalign isn’t painful, but it can leave a person’s teeth feeling tender. Think of it in the same way as conventional orthodontics. Braces put pressure on your teeth, which can be uncomfortable at first.

Is getting Invisalign worth it?

Invisalign aligners can also help you close gaps in your smile. If you’re concerned about how you look, Invisalign is a great option. Clear, plastic aligners can be used to close the spaces between your teeth. Consider these advantages of Invisalign before going to an orthodontist.

Is Invisalign suitable for everyone?

While Invisalign clear aligners may be ideal for busy adults and teens, they are not for everyone. Invisalign’s suitability for you depends on a variety of factors, including the severity of your case, your age, and your level of dedication to the treatment.

Are mouth guards good for TMJ?

In order to alleviate the discomfort caused by TMJ symptoms, wearing a mouthguard is a simple and effective solution. This is especially important if you grind your teeth (teeth clenching). If you have bruxism, you may experience pain in your jaw muscles, loose or cracked teeth, and increased wear on the discs and bones of the TMJ as the result of grinding your teeth.

Are aligners better than braces?

As far as comfort goes, aligners win out over braces every time. Plastic aligners are less likely to irritate the lips and cheeks than metal or porcelain braces, which are more likely to irritate the teeth.

How long does it take for Invisalign to work?

By gradually aligning your teeth with Invisalign, you can achieve a beautiful and healthy smile with minimal discomfort. It’s not realistic to expect to see results in just one or even two weeks. In some cases, patients can begin to notice a difference in their skin within 10 to 12 weeks of treatment.

How long do porcelain veneers last?

Whether you have porcelain or composite veneers, and how well you take care of them, determine how long you can expect your smile to look great after you get dental veneers. Between 10 and 12 years, porcelain laminate veneers can last. Due to their short lifespan of four to eight years, composite resin veneers must be replaced sooner than natural tooth enamel.

Can your teeth fall out with Invisalign?

Bone is what holds your teeth in place while they are being moved by Invisalign. You don’t want them to dislodge. As the Invisalign aligners place pressure on your teeth, they also place pressure on your jawbone (allowing the teeth the space they need to move into a straighter position).