The Daily Insight

Connected.Informed.Engaged.

news

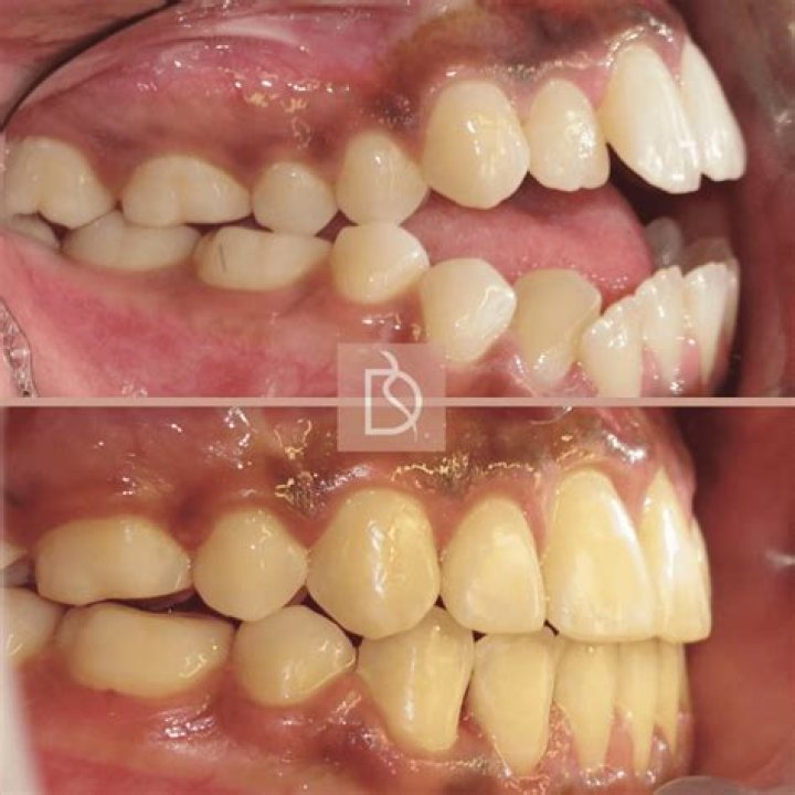
Can Invisalign Fix Misaligned Bite?

Writer David Wilson

However, Invisalign is not capable of treating all cases of a misaligned bite. Because Invisalign clear aligners don’t properly address back teeth in the way that traditional orthodontics do, a severely misaligned bite must be treated with traditional orthodontics.

Silky Terrier Dog Breed Playing Aro... Silky Terrier Dog Breed Playing Around

How long does Invisalign take to correct a bite?

Treatment with Invisalign aligners typically takes 12-24 months to correct an open bite completely. If you have an open bite, it means that the upper and lower rows of teeth don’t touch when the mouth is closed.

How do you fix a misaligned bite?

Orthognathic surgery is used to correct a severe malocclusion caused by a misaligned jaw. Among these procedures are those that move the upper jaw or maxilla in a forward, backward, or even widening direction. Procedures that move the lower jaw or mandible forward or backward are also included.

How does Invisalign correct deep bite?

It is necessary to take a 3D scan of your teeth in order to create custom aligners for you prior to beginning Invisalign treatment. A gentle force is applied to your teeth by wearing these clear aligners. Fixes crossbite or deep bite by gradually shifting your teeth into place.

Which one is better Invisalign or braces?

The majority of children and adolescents are better served by braces, as are those with severe crookedness. Invisalign and other clear aligners are best for adults who want a nearly invisible and more comfortable method of straightening their teeth, as long as the teeth aren’t too crooked..”

Why are my teeth suddenly misaligned?

Teeth can be shifted, rotated, and shifted. A genetic predisposition can cause teeth to shift into crooked positions over time, even if they were initially straight. There may be nothing you can do if it runs in your family.

Can a dentist fix a misaligned jaw?

Your dentist may recommend orthognathic surgery if your jaw is severely deformed. You may need to use this procedure in conjunction with orthodontic treatment like braces if your upper or lower jaw is misaligned.

Can I get Invisalign for top teeth only?

Yes, you can have Invisalign treatment only for the upper teeth. Most people only consider having their upper teeth straightened if their lower teeth are reasonably straight and stable, with no signs of future crookedness.

Do Invisalign work faster than braces?

What’s the truth about Invisalign? For the most part, yes. It takes an average of 12 months to complete treatment with Invisalign compared to 18 to 24 months with traditional metal braces. Treatment plans can be simple or extremely complex, and both factors influence how long it takes to see the desired results.

Why arent my teeth straight after Invisalign?

After having your Invisalign braces removed or after you stop wearing Invisalign, your teeth are likely to shift slightly. This is a natural result of the constant biting, chewing, swallowing, and speaking that takes place on a daily basis.

Can clear aligners fix a deep bite?

A deep bite can be corrected with braces and clear aligners (like Invisalign or 3M clear aligners), as can an overbite. The gist of the matter remains constant. Orthodontic appliances, such as braces, and clear aligners, such as Invisalign, use gentle pressure to realign teeth.

Does smile direct fix bite issues?

Are overbite issues treatable with SmileDirectClub? Yes! Our clear aligners can be used to correct mild to moderate overbite or overjet. As a result, you will be able to show off more of your lower front teeth and have a more healthy bite.

What do Invisalign bite ramps do?

Using a bite ramp prevents your upper teeth from completely covering your lower front teeth, allowing you to eat normally. Because your back teeth don’t quite meet, you’ll have some extra space between your upper and lower jaws at the back of your mouth. This allows your teeth and jaws to move into their correct positions.

Is Invisalign worth the money?

Making this commitment, on the other hand, has enormous benefits. Metal braces are more noticeable, but Invisalign is virtually undetectable and only takes a year to complete. Alignment trays make brushing and flossing easier, and there are no food or drink restrictions.

What is the lowest price for Invisalign?

On the Invisalign website, prices range from $3,000 to $7,000. According to the insurance company, some people may be eligible for up to $3,000 in aid. The national average for Invisalign is between $3,000 and $5,000, according to the Consumer Guide for Dentistry.

Why aren’t my teeth aligned when I bite down?

To avoid open sores that are more likely to become infected, it is important to make sure that your bite is properly aligned. That’s why the term “mallocclusion” means “bad bite” in Latin, if you hadn’t already guessed.

Can clenching teeth change bite?

A shift in the bite can occur as a result of teeth grinding, which can alter the way your bite works. During chewing, teeth grinding can cause the jaw to jerk, causing the jaw to pop or click when it is opened or closed.

Can your jaw misaligned overnight?

Bruxism. If you sleep with your teeth clenched, your jaw may become misaligned. That’s because you’ve been grinding and clenching your muscles unconsciously all night. Toxic buildup in your mouth can lead to tooth decay, joint and bone damage in the jaw, as well as muscle pain.

Can Invisalign fix facial asymmetry?

When it comes to correcting an unbalanced face through orthodontic treatment, Invisilign and braces are both excellent options.

How expensive is Invisalign?

The Invisalign® system is a great value because it requires fewer appointments and is less time consuming than traditional metal braces. Depending on a variety of variables, the total cost of Invisalign treatment can range from $3,000 in New Zealand to upwards of $11,000.

Can a chiropractor adjust your jaw?

Key muscles like the masseter, temporalis, and pterygoid can also be worked on by the chiropractor in order to get the jaw into better alignment.

How much is Invisalign a month?

Invisalign is estimated to cost between $3,500 and $8,000. However, insurance may cover up to $1,500 of the costs of invisalign. All retainers are included in the cost of the service. Compared to traditional metal braces, Invisalign clear aligners are less expensive. Payment plans typically begin at $89 a month, but this varies widely.

Is Invisalign for top and bottom teeth?

Yes, Invisalign can be used to straighten only the bottom or top teeth, but this isn’t always the case. As a result of this, your final Invisalign treatment must result in a stable bite or occlusion.

Are retainers included with Invisalign?

Do Invisalign retainers come as part of Invisalign treatment? The fact that teeth have “memory” and will slowly move back to their original positions if nothing holds them in place after treatment is complete necessitates the use of retainers for all types of braces.

How long does teeth alignment take?

Dental braces can take anywhere from six months to two years to straighten a patient’s teeth. Based on previous experience with patients with similar needs, your orthodontist will be able to give you an accurate estimate of the time it will take to complete your braces therapy.

Do teeth get more crooked with age?

As you get older, your jaw bone loses density and begins to shrink in size. According to the American Association of Orthodontists, this results in a discrepancy between the size of the jawbone and the teeth, which may cause crowding or overlapping of teeth.