The Daily Insight

Connected.Informed.Engaged.

updates

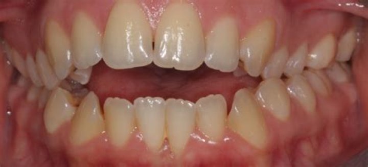
Can Invisalign Fix Open Bite?

Writer Robert King

An open bite can be corrected with Invisalign clear aligners, yes.

Silky Terrier Dog Breed Playing Aro... Silky Terrier Dog Breed Playing Around

How long does it take to fix open bite with Invisalign?

How Long Does Invisalign Take for Open Bite Treatment? To a certain extent, the severity of your malocclusion determines how long it will take for Invisalign treatment to be completed. It may take three months for minor open bites, but it may take up to 18 months for moderate open bites.

Is braces or Invisalign better for open bites?

Open bites may benefit more from Invisalign clear aligners than braces. Using Invisalign aligners is as simple as putting them on and taking them out.

Can an open bite Be Fixed?

If this happens, your orthodontist needs to catch it and fix it. Even when their mouth is closed, people with an open bite have teeth that don’t fit together properly. Surgery, braces, and aligners are common treatment recommendations for people with open bites.

Will my open bite get worse?

An open bite will get worse over time if left untreated. As time goes on, the problem of open bite becomes more and more pronounced. What are the characteristics of an open bite? With an open bite, the upper and lower teeth are separated by an equal distance.

Is open bite genetic?

A skeletal open bite can be inherited genetically. Functional habits that lead to an open bite in the teeth can also be to blame. An open bite may be the result of a change from the primary teeth to the permanent teeth occurring at a young age.

Can I get Invisalign for top teeth only?

Yes, it’s fine to use Invisalign only on the upper teeth. In most cases, straightening the top teeth is done only when the bottom teeth are in good shape and there is no sign of crookedness in the future.

Does Invisalign give you a lisp?

First-time wearers of Invisalign may notice a lisp, but it’s typically only noticeable to you, temporary, and easily corrected.

Why arent my teeth straight after Invisalign?

After having your Invisalign braces removed or after you stop wearing Invisalign, your teeth are likely to shift slightly. As you chew, swallow, and speak, your teeth are subjected to daily wear and tear.

How do you fix an anterior open bite?

Using a combination of fixed braces and orthognathic surgery is the gold standard for treating skeletal anterior open bites. Anterior open bites can now be orthodontically corrected with temporary anchorage devices (TADs), which have recently been developed.

Can Veneers Fix open bite?

Veneers may be able to help close an open bite. If the open bite is minor, veneers can be used to close it. Porcelain or composite veneers are thin ceramic or composite coverings for your teeth. A small amount of the tooth’s enamel is removed during the placement of dental veneers.

Can you fix a posterior open bite?

The ideal overbite and overjet were achieved by adjusting the inclination of the upper and lower molars. It was found that the mandibular upper occlusal plane had been flattened and the mandibular posterior teeth had been raised (Figure 8).

How rare is an open bite?

Regardless of the type of malocclusion, the vast majority of people require orthodontic treatment in order to fix it. Open bites are uncommon, despite the prevalence of malocclusion. According to the Centers for Disease Control and Prevention, only 0.6 percent of Americans are affected.

Does open bite affect jawline?

After braces are removed, people with overbite, underbite, and open bite will all have softer and more proportionate faces; those with open bites will have beautiful cheeks that don’t have to stretch to fit over their teeth.

Does smile Direct do bottom teeth?

What is the best way to use SmileDirectClub clear aligners? There is a chance. The dentist or orthodontist assigned to your case will determine the safest and most effective treatment option for you.

Are retainers included with Invisalign?

Yes, Invisalign retainers are included in the treatment. The fact that teeth have “memory” and will slowly move back to their original positions if nothing holds them in place after treatment is complete necessitates the use of retainers for all types of braces.

How much is Invisalign a month?

Invisalign is estimated to cost between $3,500 and $8,000. However, insurance may cover up to $1,500 of the cost of invisalign. Retainers are included in the price. With Invisalign clear aligners, you can expect to save money. Monthly installments of $89 are not uncommon for these plans.

Can I kiss with Invisalign?

As far as I can tell, they don’t stop people from kissing each other! As a result of Invisalign’s smooth aligners, you won’t have to worry about your aligners dislodging or interfering with your ability to kiss your loved one.

Do I have to wear my Invisalign forever?

Is Invisalign a permanent solution? Yes, but the amount of time you must wear it will gradually decrease as time goes on. Traditional metal braces move teeth differently, but the end result is the same.

Do top or bottom teeth move faster?

In addition, it is common to begin treatment by having the braces placed on the upper teeth. In comparison to the lower teeth, the upper teeth and jawbone take longer to align and move.

Can you feel teeth shifting with Invisalign?

During the process of their teeth shifting into their new positions, most people who use Invisalign report feeling pressure or discomfort. During the first few weeks of using Invisalign, and when switching to a new aligner tray, people are most likely to experience discomfort.

Do teeth go back after Invisalign?

What causes my teeth to shift? You can expect your teeth to gradually return to their original position after they have been straightened out. Within a few weeks of completing your Invisalign treatment, you will begin to notice this. Previously, some of your teeth would have rested on another.

What does opening your bite mean?

Having an open bite (malocclusion) means that the upper and lower teeth do not come together or bite in the correct position. Because the teeth do not overlap, they appear “open.” Tooth position, jaw position, or a combination of the two can lead to open bites.

Does Invisalign cause posterior open bite?

The development of a posterior open bite is one of the most common side effects of clear aligner and Invisalign treatment. You’ll run into this issue if you treat your patients with clear aligner braces.

Does fixing open bite change face shape?

No. They don’t have the capacity to do so. Even though braces can correct the width of your upper jaw, they don’t have any effect on the structure of the nose.

Does your face shape change with Invisalign?

Invisalign is capable of reshaping the profile, appearance, and even the shape of the face. An overbite can cause your upper lip to protrude if your teeth are crooked, while a crooked bite affects the shape of your face.