The Daily Insight

Connected.Informed.Engaged.

updates

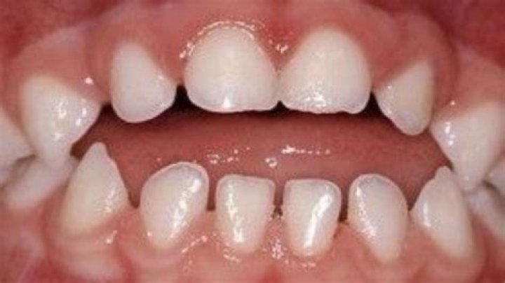
Can You Fix Pacifier Teeth?

Writer John Campbell

Perhaps you should inquire with your child’s pediatric dentist about the possibility of self-correction of pacifier teeth? Self-correction is not possible for children older than 7-9 years old. Problems with dental development necessitate further investigation of treatment options.

Silky Terrier Dog Breed Playing Aro... Silky Terrier Dog Breed Playing Around

Can pacifier teeth correct themselves?

Pacifier teeth are the more common term for the malocclusions and other dental issues caused by thumb sucking and pacifiers. Unfortunately, if the bad habits have persisted for an extended period of time and the teeth and mouth have already become misaligned, they will not be able to fully correct themselves.

Will teeth go back to normal after pacifier?

A spokesman for the Academy of General Dentistry says that as long as pacifier use is discontinued by a parent or guardian before the age of two, any negative effects on a child’s dental or bone development are only temporary.

What happens to teeth from pacifier?

Dentin on a pacifierMoving forward, the teeth can become crooked and slanted. In addition to the teeth’s alignment, this can have an impact on the jaw’s position. In addition, long-term pacifier use may alter the shape of the roof of the mouth.

Can you get buck teeth from a pacifier?

It has been found that there are some dental consequences to using pacifiers, according to AAPD and the American Dental Association. Inconsistent teeth. Bite and jaw alignment issues (for example, the front teeth may not meet when the mouth is closed) Teeth that stick out in the front.

Do pacifiers change shape of mouth?

Your child’s teeth and jaw can be shaped and aligned by using a pacifier while they sleep. There is a chance that your child will develop crooked teeth or bite issues as a result of this. When their mouths are closed, their front teeth may not meet, and the roof of their mouth may change in shape.

How long does it take for pacifier teeth to correct?

Do it by the age of two, as problems with tooth alignment or bone development are more likely to be corrected within six months of ceasing to use a pacifier. The following are some tips to help you wean your child from the pacifier: To reduce the desire to suck, pierce the top or cut it down to a more manageable length.

When should we stop pacifier?

Most pediatricians advise against the use of pacifiers before the age of two to four. Weaning from the pacifier by the age of three is recommended by the American Academy of Pediatric Dentistry (AAPD). Non-nutritive sucking is normal for babies and young children.

How long does it take to get rid of pacifier?

Pacifier use can be drastically reduced in as little as one week, from multiple times per day to none at all. Pacifier use should be limited or discontinued around the age of six months in order to reduce the risk of ear infections, especially if your child has a history of them.

Is 3 too old for a pacifier?

The American Academy of Pediatrics recommends against the use of pacifiers after the age of four.

How do I stop pacifier cold turkey?

Put a stop to it.Make sure you don’t return the pacifier to your child no matter how loudly they beg and plead for you to do so. Stand your ground and you and your child will be pacifier-free in a week or two (or even less!).

Should I remove pacifier when baby is sleeping?

A pacifier can be used to soothe your baby to sleep. Make sure to follow these guidelines, however, in order to ensure your safety: Attaching a string to a pacifier increases the risk of suffocation. A pacifier at night while your baby is learning to breastfeed is not a good idea.

How do I get my baby to sleep without a pacifier?

It’s possible to gradually wean your child off of the pacifier by cutting back on its use only at bedtime or just during those first few hours of the night. Eventually, you’ll be able to go without a pacifier at night.

Which is worse pacifier or thumb?

Sudden Infant Death Syndrome (SIDS) may be reduced if your baby uses a pacifier while snoozing (SIDS). Both aren’t ideal: Ear infections are more common in babies who use pacifiers, but thumb-sucking can spread bacteria to your child’s mouth. Because babies are able to locate their thumbs in the dark, they require less care than other body parts.

How do I get my 12 month old off the pacifier?

If you’re having trouble weaning your child off of their pacifier, some tried-and-true methods include: going cold turkey and simply removing it; applying a safe but unpleasant product to make the pacifier taste bad; pretending that you’re giving it away to Santa Claus, the Easter Bunny, or other babies; or only allowing the use of the pacifier at specific times, such as bedtime.

What pacifiers are best for teeth?

Dental pacifier of choiceParenting gurus recommend the NUK Orthodontic Pacifier as one of their top picks. Because of the scoop-shaped cavity, the orthodontic nipple encourages healthy oral development.

Can breastfed babies pacifier?

The American Academy of Pediatrics recommends using a pacifier after breastfeeding is established. It’s best to wait until your baby has regained their birth weight before giving them a pacifier.

Why does a pacifier reduce SIDS?

The risk of oropharyngeal obstruction is reduced when sucking on a pacifier, which forces the tongue to be positioned further forward. Pacifier use may also have a protective effect on SIDS because of its effect on the position of the child while they sleep..

Can you do Ferber method with pacifier?

Is it possible to use a pacifier while using the Ferber technique? Teaching your child how to self-soothe is the goal of the Ferber method. The pacifiers aren’t out of the question either.

At what age can a pacifier be used?

When Is the Right Time to Introduce a Pacifier to Your Newborn? The Mayo Clinic recommends delaying the introduction of a pacifier until a baby is 3 to 4 weeks old. That should be sufficient time for your child to become accustomed to the nursing schedule. Breastfeeding can be disrupted if a pacifier is introduced too early.

Should you stop baby from putting hands in mouth?

According to Dr. Johnson, putting your hands in your mouth is a common baby behavior that can be a sign of boredom. Your child will outgrow this stage in most cases, says your pediatrician. Is it really necessary to be concerned about your baby’s habit of gnawing on their hand?

What are orthodontic pacifiers?

When a child’s baby teeth begin to erupt, orthodontic pacifiers are created with their needs in mind. Using an orthodontic pacifier helps to maintain the shape of a baby’s jaw and palate as they grow up.

How can baby self soothe without pacifier?

Advantages of Doing Without a PacifierHealthy sleep habits can be developed in large part by mastering the art of self-soothing. As soon as a baby is able to fall asleep on his own, he is able to fall back to sleep after an awoken night. Self-soothing techniques for babies include sucking on fingers, rocking back and forth, or making noises to soothe themselves.

Do MAM pacifiers mess up teeth?

In terms of affordability, the MAM Perfect Pacifier comes out on top because it won’t wreak havoc on your baby’s teeth.

How do I get my 5 month old off the pacifier?

CONSISTENTLY SLOW For a baby who is between 4 and 6 months old, you can begin weaning him or her from the pacifier by rocking him or her for 5 minutes after the feed and allowing him or her to continue sucking on the pacifier. Using your pinky finger, slowly extend the drowsiness scale from a 9 to a 9-9.5.

Can pacifier cause shallow latch?

Pacifiers can delay feedings and interfere with latches, which can lead to a decrease in a mother’s milk supply. Having a shallow latch or feeding infrequently means that the breasts are emptied less thoroughly and less frequently.