The Daily Insight

Connected.Informed.Engaged.

updates

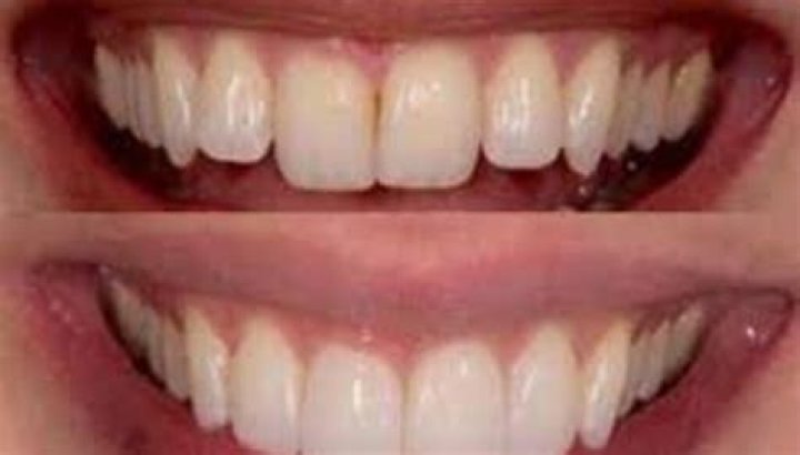
How to whiten porcelain veneers?

Writer Rachel Davis

Can you lighten porcelain veneers?

Is It Possible to Whiten Veneers? It’s definitely understandable that you might be tempted to use an at-home whitening treatment to restore the original white color of your veneers if they’ve become yellow or brown over time. In contrast, traditional whitening treatments do not work well with porcelain veneers.

Can baking soda whiten veneers?

To summarize, porcelain veneers should never be exposed to products like baking soda powder or teeth-whitening gels or pastes. Rust is attracted to surfaces that have been used for an extended period of time. You should brush your teeth with a low-abrasion toothpaste recommended by your dentist.

How do you whiten veneers and crowns?

Your dentist will actually match the color of your porcelain crowns and veneers to the color of your natural teeth. Brush your teeth properly with a whitening toothpaste to keep them from becoming discolored. If you’re looking to whiten your teeth, ask your dentist for a recommendation.

Will hydrogen peroxide whiten veneers?

At-home whitening treatments don’t work well on veneers. Hydrogen peroxide, a common ingredient in whitening toothpastes, is abrasive and should be avoided. To brighten up the rest of your teeth, whitening strips can be used, but it’s unlikely that your veneers will once again be the same shade as before.

Can you zoom whiten veneers?

The ZOOM Whitening treatment does not alter the color of porcelain crowns and veneers. Having veneers and crowns that are a few shades lighter than one’s natural teeth can sometimes help one’s veneers and crowns look more natural and blend in more seamlessly.

Does baking soda damage veneers?

Any toothpaste containing hydrogen peroxide or baking soda should be avoided by patients who have had porcelain veneers treatment at our Flowood dental office.

Does Smileactives work on veneers?

For natural teeth, veneers, crowns, bonding, and dentures, you can count on Smileactives.

Can you lighten porcelain crowns?

Your smile can never be whiter than the color of your crown, as this is impossible. If at all possible, have your teeth whitened prior to getting your crown so that the two are as close to matching as possible. Preparing a shade-match prior to treatment is the best way to ensure that the results you desire are achieved.

Do power swabs whiten veneers?

There are actually no known risks associated with swallowing the amount of solution contained in one Power Swabs® teeth whitening swab. These swabs are safe for use on all types of dental work, including caps, crowns, and veneers.